Tout débute en septembre 2009. Je tiens à préciser qu’à cette époque j’étais fumeur d’environ 20 cigarettes par jour, avec des pointes à 1, voir 2 paquets par jour les week-ends, vous savez, lorsque l’apéro se prolonge…
Je me plains de toux régulières, spécialement le matin à la sortie de la douche, et décide d’aller voir mon médecin traitant favori qui est une femme. Cette dernière m’oriente alors, après une radio des poumons qui ne la convainc pas entièrement, chez un médecin spécialiste, un pneumologue, qui décide des examens complémentaires suivants répartis sur plusieurs jours:
CT thoracique le 18 septembre.
Bronchoscopie le 24 septembre. Cet examen invasif est l’un des pires qu’il m’ait été donné de faire, surtout qu’il n’a pas permis les analyses souhaitées, d’où la ponction-biopsie trans-thoracique qui a suivi le 1 octobre. Je n’ai pas trouvé douloureux cette ponction, bien qu’on vous plante une aiguille jusqu’à la tumeur pulmonaire à travers la cage thoracique.
Le diagnostic est déterminé le 1er octobre et m’est annoncé le 5, jour de mon anniversaire: adénocarcinome pulmonaire du lobe supérieur droit et moyen, autrement dit une tumeur au poumon droit. J’ai alors instantanément arrêté de fumer pour ne jamais plus retoucher une cigarette !
D’autres analyses sont alors décidées :
PET et IRM cérébral le 6 octobre. Ces examens, ô combien importants, ne révèlent par chance aucune métastase décelable et permettent d’envisager une intervention chirurgicale pour extraire cette tumeur.
Je rencontre le chirurgien le 13 octobre.
Après une scintigraphie pulmonaire le 19 octobre, il est décidé d’une intervention chirurgicale le 29 pour extraire cette tumeur.
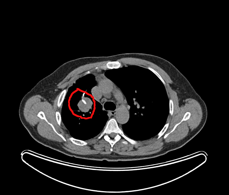
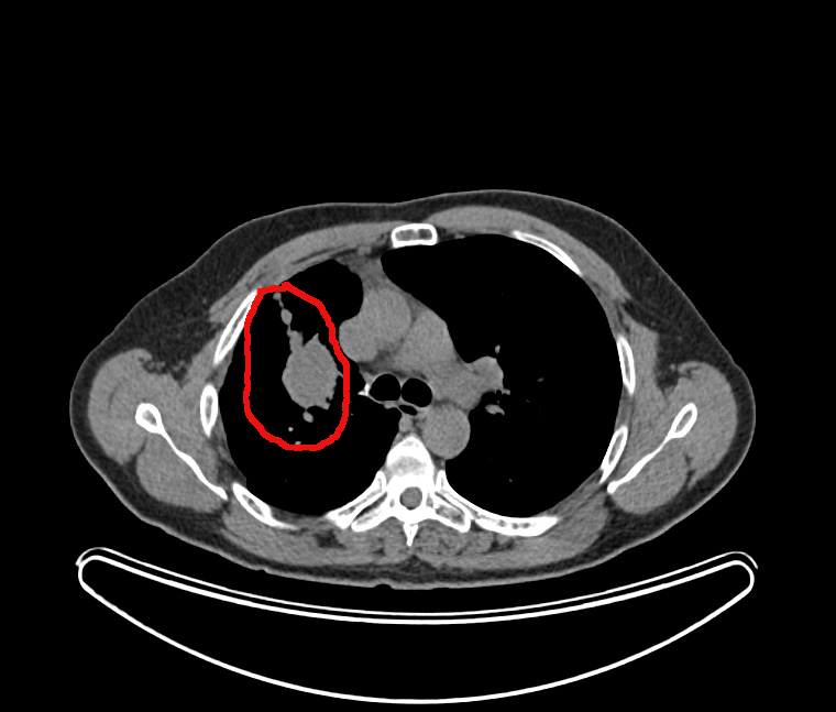
Vue de la tumeur:
il s’agit de cette grosse tache blanche dans le poumon droit (à gauche sur les images)

